All-on-X implantáty v Praze
Nový úsměv za jeden den metodou All-on-4 / All-on-6
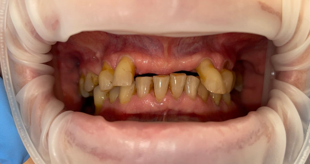
Chybí vám většina zubů a nechcete trávit měsíce bez úsměvu?
Metoda All-on-X nabízí moderní řešení, a to kompletní nový chrup na 4–6 implantátech.
A to nejlepší? Nové zuby za jeden den – ještě v ten stejný den odcházíte s pevnými dočasnými zuby, s nimiž můžete mluvit, smát se a pohodlně jíst.
Proč pacienti volí Omni Dent Clinic
Pomáháme i tam, kde to jinde vzdali
Pomáháme pacientům i v situacích, které se zdají beznadějné, například při:
- silné ztrátě kosti,
- potřebě sinus-liftu nebo augmentace,
- opravách po nepovedené implantaci,
- úplné bezzubosti,
- náročných estetických případech.
Špičkový tým a tisíce úsměvů
Za našimi výsledky stojí zkušený tým a tisíce spokojených klientů:
- více než 8 000 ošetřených pacientů,
- implantologové se zkušenostmi ze zahraničí,
- důsledná kontrola a plán krok po kroku.
Žádná překvapení a jasná cena
- Léčebný plán znáte předem,
- platba po etapách,
- záloha na rezervaci termínu: 10 %.
Digitální stomatologie nové generace
Pracujeme s nejmodernějšími digitálními technologiemi pro maximální přesnost a bezpečnost:
- CBCT 3D snímkování, intraorální skener,
- CAD/CAM výroba, fotogrammetrie,
- maximum přesnosti a přirozený vzhled.
Pohodlí je pro nás priorita
Podle potřeby nabízíme ošetření v sedaci pro pacienty, kteří chtějí zákrok absolvovat v naprostém klidu a bez stresu.
Jak probíhá léčba
Celý proces je promyšlený do posledního detailu. Každý krok na sebe navazuje tak, aby byla léčba bezpečná, předvídatelná a komfortní.
1. Konzultace a plán léčby
Vše začíná důkladnou diagnostikou a individuálním plánem:
- CBCT 3D vyšetření, klinické vyšetření a fotodokumentace,
- detailní analýza situace a naplánování pozice implantátů,
- výběr typu implantátů a návrh finální protetické práce.
2. Chirurgický zákrok
Samotný výkon probíhá během jedné návštěvy a je předem pečlivě naplánován:
- v případě potřeby šetrné odstranění nevyhovujících zubů,
- zavedení 4–6 implantátů metodou All-on-X,
- digitální otisky pro přesnou výrobu dočasného můstku.
Cílem je maximální přesnost, stabilita a komfort pro pacienta.
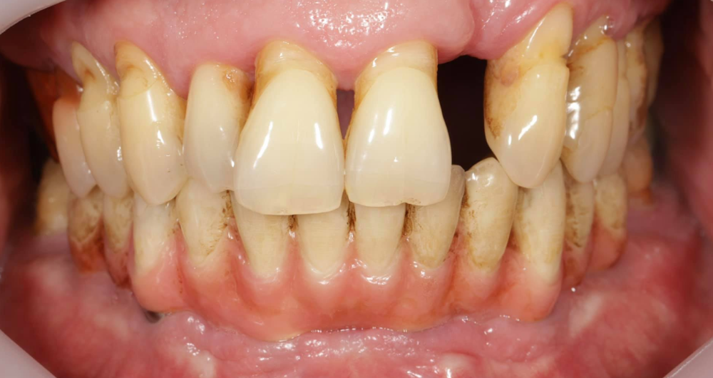
3. Dočasné fixní zuby už tentýž den
Ještě v den zákroku odcházíte s pevnými dočasnými zuby, a to bez snímatelné protézy a bez dlouhého čekání.
Můžete mluvit, usmívat se i jíst měkkou stravu téměř okamžitě.
4. Finální protetická práce
Po 4–6 měsících, kdy dojde k úplnému zhojení a pevné integraci implantátů, přichází finální fáze.
Nasazujeme trvalý můstek z multivrstvého zirkonu, který zajišťuje vysokou pevnost, přirozený vzhled a dlouhou životnost.
Kdo je ideální kandidát
- Pacienti s úplnou bezzubostí nebo nestabilní snímatelnou protézou,
- lidé s výrazně poškozenými nebo nevyhovujícími zuby,
- ti, kteří chtějí co nejrychleji získat pevné zuby,
- pacienti, pro které je důležitá estetika a přirozený vzhled úsměvu.
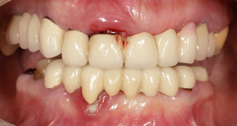
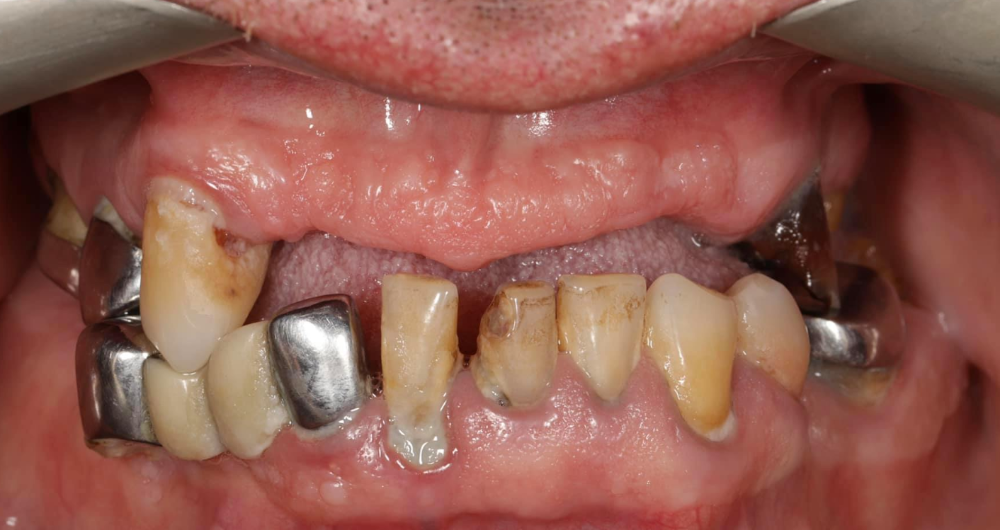
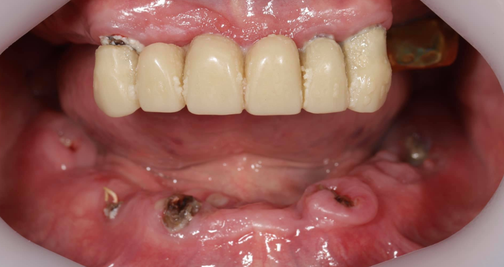
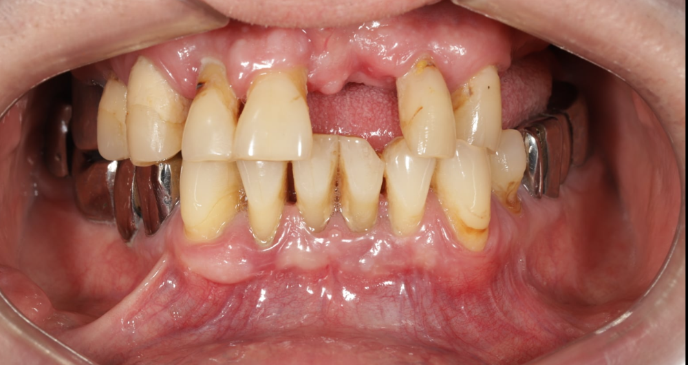
Výsledky, které mluví za vše
- Fotografie před/po,
- reálné příběhy pacientů,
- doporučení a recenze.
Připraveni vrátit úsměv do vašeho života?
Kontaktujte nás nebo zašlete fotografie/ CT snímek. Připravíme pro vás osobní léčebný plán včetně předběžné kalkulace a představíme, jaká je cena All-on-X .
Implantologické ošetření

Jak probíhá vyšetření

Digitální plán

Odstranění kořenů zubů

Chirurgická fáze

Trvalá konstrukce
Prostor zdraví a pohodlí
Vytvořili jsme kliniku, kde je každý detail promyšlený pro vaše pohodlí, klid a jistotu během celého ošetření.
Sledujte nás na YouTube
Ukázky práce před a po
PředPo
PředPo
PředPo
PředPo
PředPo
PředPo
Tým implantologů Omni Dent Clinic

Vitalii Shmadiuk
odborník na chirurgii
a implantologii
Kontakt
Často kladené dotazy
Je zákrok All-on-4 / All-on-6 bolestivý?
Zákrok probíhá v lokální anestezii nebo v sedaci, takže během výkonu nepociťujete bolest. Po zákroku se může objevit mírný otok nebo citlivost, kterou snadno zvládnou běžná analgetika.
Jak dlouho trvá, než budu mít nové zuby?
Ve většině případů pacient odchází v ten samý den s fixním dočasným můstkem. Finální řešení z cirkonu se nasazuje po období hojení — obvykle 4–6 měsíců.
Je tato metoda vhodná pro každého pacienta?
Ano, metoda All-on-X je vhodná pro většinu pacientů s bezzubostí nebo nefunkčním chrupem. I při úbytku kosti lze často postupovat bez rozsáhlé augmentace. Podrobný plán určí lékař po vyšetření a 3D CT.
Jaká je cena zákroku All-on-4 / All-on-6?
Cena závisí na počtu implantátů, materiálu a složitosti případu. Přesnou kalkulaci obdržíte po konzultaci a diagnostice. Nabízíme transparentní ceny a možnost platby po etapách.
Mohu jíst normálně po zákroku?
V den operace obdržíte fixní dočasný můstek, se kterým můžete normálně mluvit a usmívat se. Na začátku se doporučuje měkká strava, následně se přechází na standardní jídelníček.








