All-on-4 / All-on-6 (All-on-X) – fixní náhrady na implantátech v Praze
Nový úsměv za jeden den metodou All-on-4 / All-on-6 (All-on-X)
Chybí vám většina zubů a nechcete trávit měsíce bez úsměvu?
Metoda All-on-X nabízí moderní řešení — kompletní nový chrup na 4–6 implantátech.
A to nejlepší? Ještě v ten stejný den odcházíte s pevnými dočasnými zuby, s nimiž můžete mluvit, smát se a pohodlně jíst.
Proč pacienti volí Omni Dent Clinic
Pomáháme i tam, kde jinde řekli „nejde to“
- silná ztráta kosti
- potřeba sinus-liftu nebo augmentace
- opravy po nepovedené implantaci
- úplná bezzubost
- náročné estetické případy
Špičkový tým a tisíce úsměvů
- více než 8 000 ošetřených pacientů
- implantologové se zkušenostmi ze zahraničí
- důsledná kontrola a plán krok po kroku
Žádná překvapení — jasná cena
- léčebný plán znáte předem
- platba po etapách
- záloha na rezervaci termínu: 10 %
Digitální stomatologie nové generace
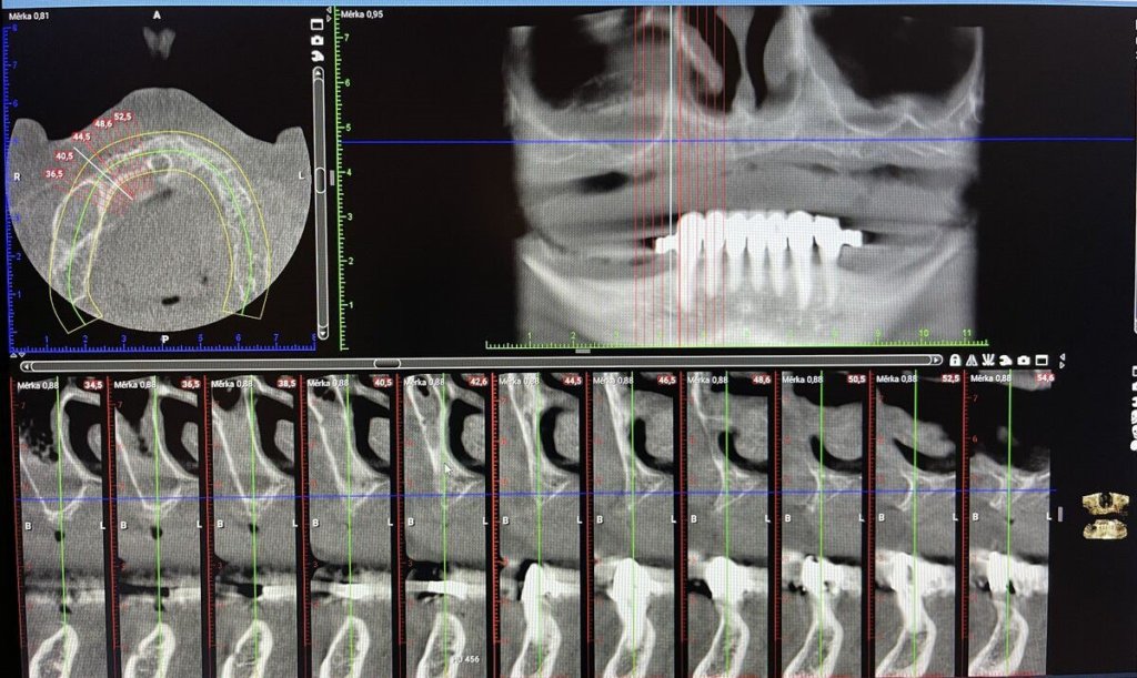
- CBCT 3D snímkování, intraorální skener
- CAD/CAM výroba, fotogrammetrie
- maximum přesnosti a přirozený vzhled
Pohodlí je pro nás priorita
Podle potřeby nabízíme ošetření v sedaci — pro ty, kteří chtějí zákrok „v klidu / ve spánku“.
Jak probíhá léčba
1. Konzultace a plán
- CBCT 3D, vyšetření, fotodokumentace
- volba typu implantátů a finální práce
Cena konzultace: 1 500 Kč (včetně CT a léčebného plánu).
Máte už CT? Nabízíme online konzultaci zdarma.
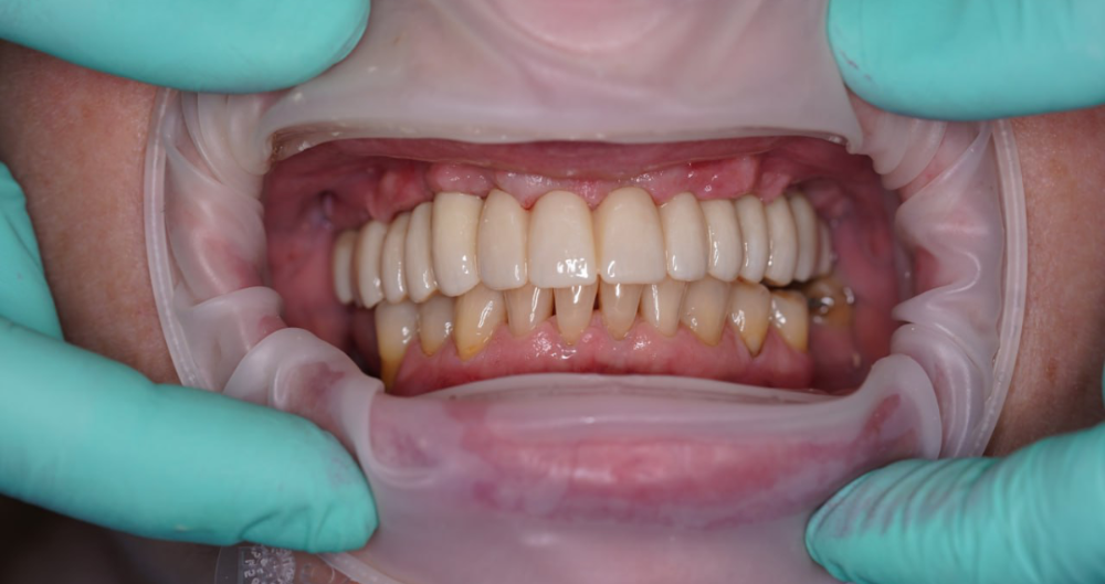
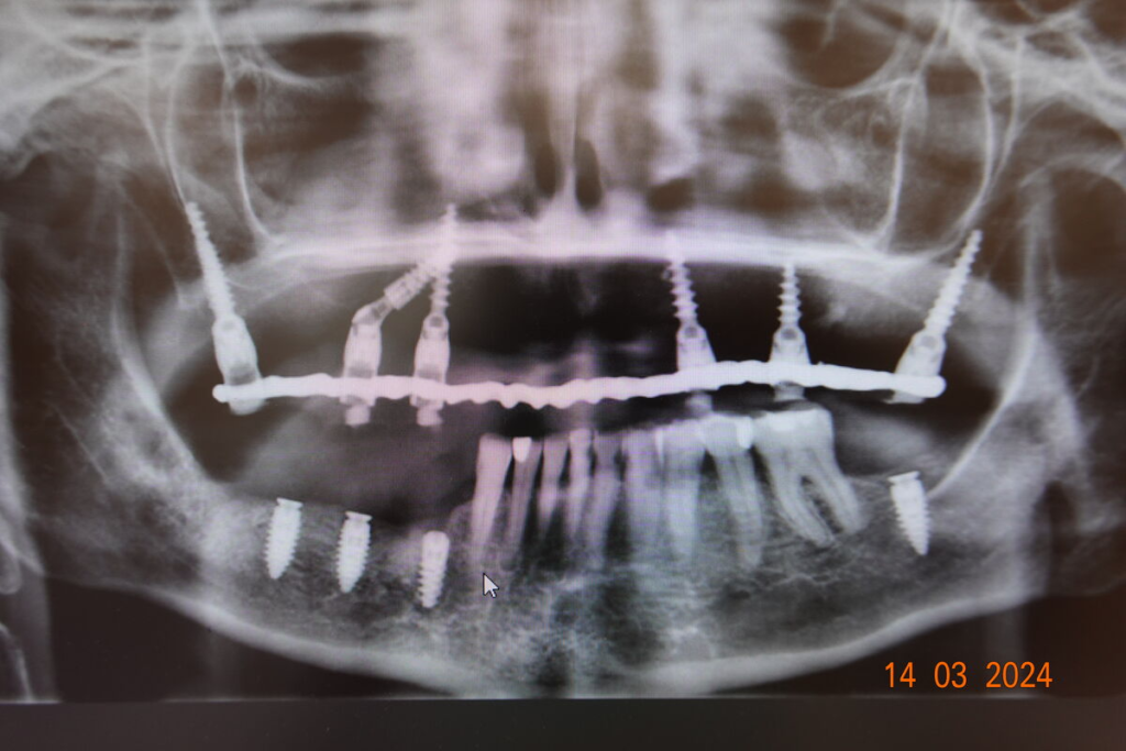
2. Chirurgický den
- případné vytažení zubů a implantace v jeden den
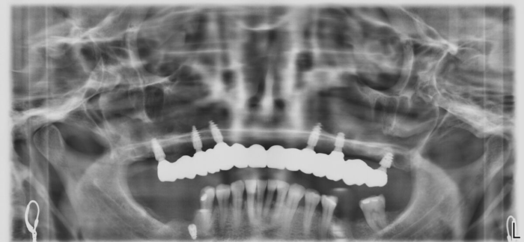
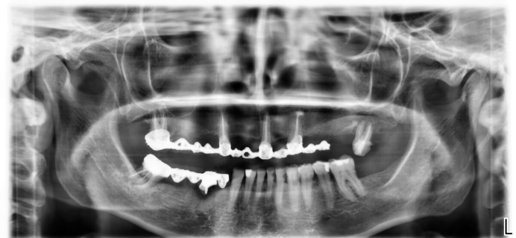
- 4–6 implantátů metodou All-on-X
- digitální otisky pro rychlou výrobu zubů
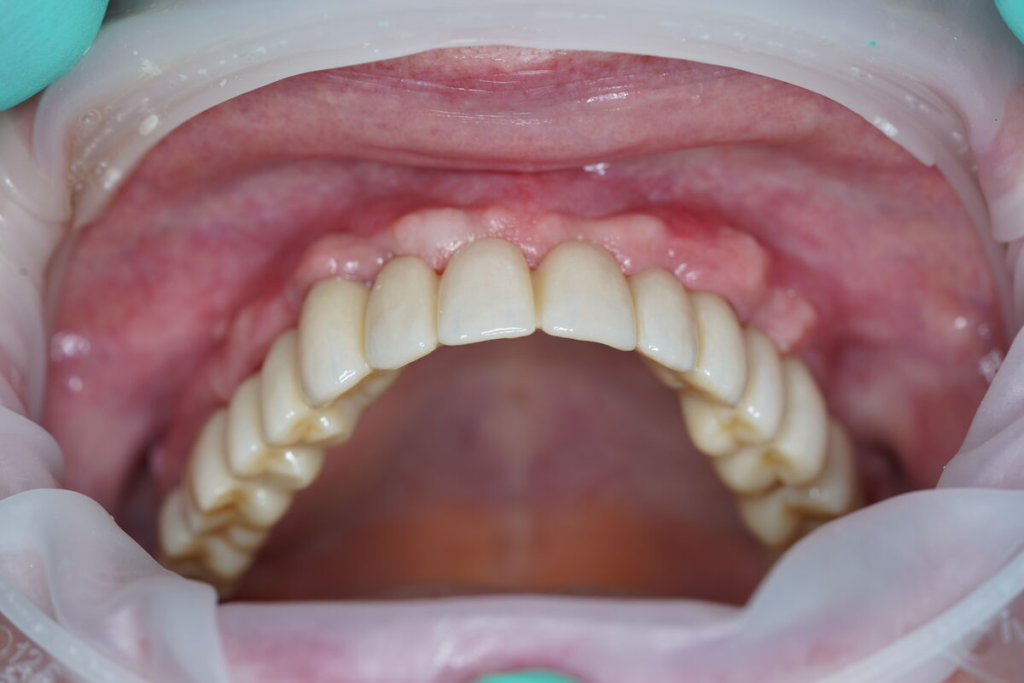
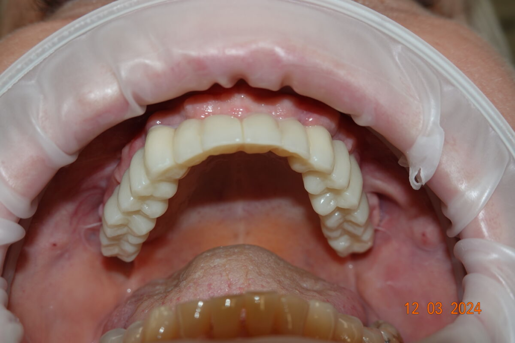
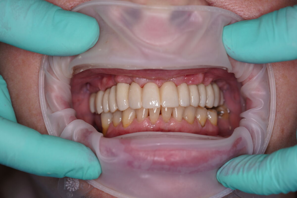
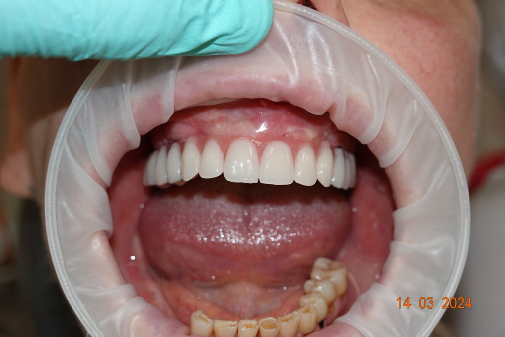
3. Nové zuby tentýž den
Odcházíte s pevnými dočasnými zuby — bez snímatelné protézy.
Můžete mluvit, smát se a jíst měkkou stravu.
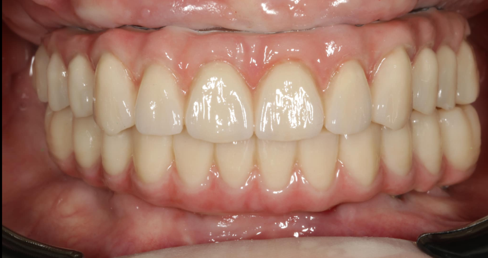
4. Finální estetická práce
Po 4–6 měsících nasazujeme trvalý můstek.
Používáme multivrstvý zirkon pro maximální estetiku, pevnost a dlouhou životnost.
Kdo je ideální kandidát
- úplná bezzubost nebo uvolněné protézy
- hodně poškozené zuby
- přání mít co nejrychleji pevné zuby
- důraz na estetiku a přirozený úsměv
Výsledky, které mluví za vše
- fotografie před/po
- reálné příběhy pacientů
- doporučení a recenze
Připraveni vrátit úsměv do života?
Napište nám nebo pošlete své fotografie/CT — připravíme osobní plán léčby a orientační kalkulaci.
Technika All-on-X — I. fáze
Technika All-on-X — II. fáze
Jak probíhá vyšetření

Vyšetření a diagnostika

Anestezie

Ošetření zubu

Závěr
Prostor zdraví a pohodlí
Vytvořili jsme kliniku, kde je každý detail promyšlený pro vaše pohodlí, klid a jistotu během celého ošetření.
Sledujte nás na YouTube
Ukázky práce před a po
ДоПосле
ДоПосле
ДоПосле
ДоПосле
ДоПосле
ДоПосле
Ukázky prací č. 1
Ukázky prací č. 2
Ukázky prací č. 3
Ukázky prací č. 4
Tým implantologů Omni Dent Clinic

Vitalii Shmadyuk
Kontakt
Často kladené dotazy
Je zákrok All-on-4 / All-on-6 bolestivý?
Zákrok probíhá v lokální anestezii nebo v sedaci, takže během výkonu nepociťujete bolest. Po zákroku se může objevit mírný otok nebo citlivost, kterou snadno zvládnou běžná analgetika.
Jak dlouho trvá, než budu mít nové zuby?
Ve většině případů pacient odchází v ten samý den s fixním dočasným můstkem. Finální řešení z cirkonu se nasazuje po období hojení — obvykle 4–6 měsíců.
Je tato metoda vhodná pro každého pacienta?
Ano, metoda All-on-X je vhodná pro většinu pacientů s bezzubostí nebo nefunkčním chrupem. I při úbytku kosti lze často postupovat bez rozsáhlé augmentace. Podrobný plán určí lékař po vyšetření a 3D CT.
Jaká je cena zákroku All-on-4 / All-on-6?
Cena závisí na počtu implantátů, materiálu a složitosti případu. Přesnou kalkulaci obdržíte po konzultaci a diagnostice. Nabízíme transparentní ceny a možnost platby po etapách.
Mohu jíst normálně po zákroku?
V den operace obdržíte fixní dočasný můstek, se kterým můžete normálně mluvit a usmívat se. Na začátku se doporučuje měkká strava, následně se přechází na standardní jídelníček.








































