Отзывы наших пациентов
Что говорят пациенты об Omni Dent Clinic
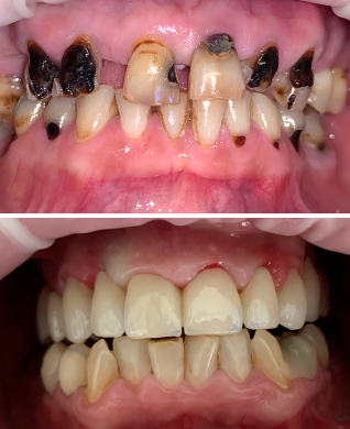
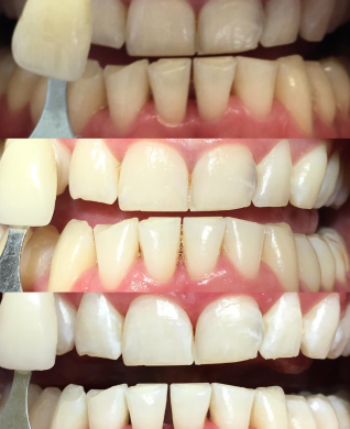
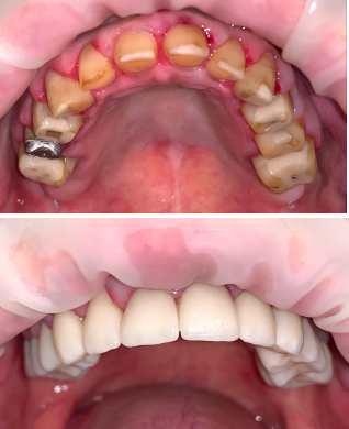
Здесь — реальные истории о лечении: от профилактики и гигиены до сложной хирургии, эндодонтии и имплантации. Коротко по сути, без лишнего — чтобы вам было проще сделать выбор.
- Подтверждённые отзывы и актуальные оценки
- Прозрачный опыт: комфорт, результат, восстановление
- Комментарии о врачах, подходе и ценах
Пролистайте отзывы — и запишитесь на консультацию, если наши принципы вам близки.

Inna Opria

Di M

Anzselika Kalinovszka
Всего отзывов
120
Рейтинг
4.9
Иван Иванов
Иван Иванов
Иван Иванов
Контакты
FAQ
Настоящие ли отзывы на сайте Omni Dent Clinic?
Да. Все опубликованные отзывы оставлены реальными пациентами, прошедшими лечение в нашей клинике. Мы не используем вымышленные истории или рекламные тексты.
Можно ли оставить свой отзыв после приёма?
Конечно. После завершения лечения мы отправляем ссылку, по которой вы можете поделиться впечатлениями. Ваш отзыв помогает другим пациентам сделать осознанный выбор.
Почему на сайте нет только положительных отзывов?
Мы публикуем все конструктивные мнения — и благодарности, и рекомендации. Для нас важно получать обратную связь, чтобы совершенствовать сервис и подход.
Где ещё можно прочитать отзывы о клинике?
Отзывы о Omni Dent Clinic доступны на Google Maps, Facebook и Doctor.cz. Все они подтверждены реальными профилями.
Что делать, если у меня есть вопрос после лечения?
Вы можете связаться с нами по телефону или через форму обратной связи. Мы подробно ответим на все вопросы и при необходимости пригласим на бесплатную консультацию.









